
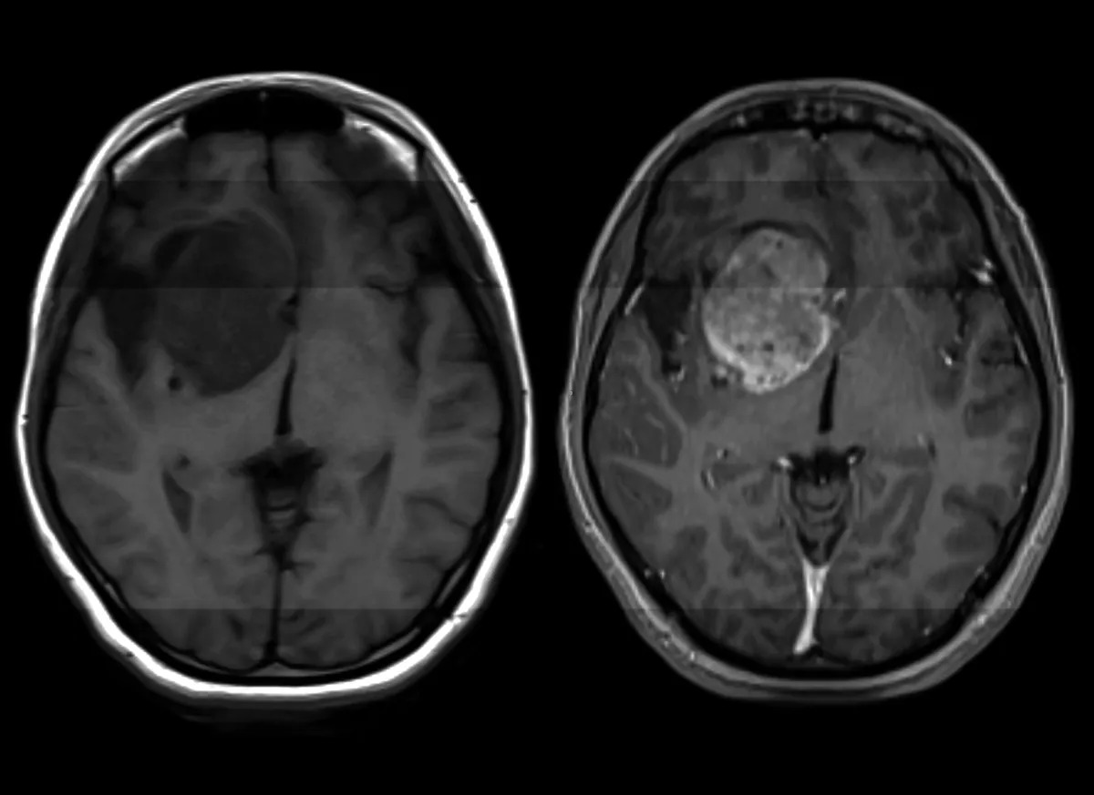
Një zbulim i ri shkencor në kuptimin e patologjisë së glioblastomës — forma më e zakonshme dhe njëkohësisht më agresive e kancerit të trurit, e cila aktualisht konsiderohet e pashërueshme — ka hapur perspektiva të reja për zhvillimin e një trajtimi të ardhshëm që, në parim, mund të jetë po aq i thjeshtë sa marrja e një pilule.
Vetëm në Shtetet e Bashkuara, çdo vit më shumë se 14,000 persona diagnostikohen me glioblastomë. Ky tumor i trurit është jashtëzakonisht agresiv, i paparashikueshëm dhe rezistent ndaj trajtimeve ekzistuese. Pacientët e diagnostikuar rishtazi jetojnë mesatarisht vetëm 12 deri në 18 muaj, edhe me trajtim; pa ndërhyrje mjekësore, kjo kohë do të ishte edhe më e shkurtër. Vetëm rreth 5% e pacientëve arrijnë të mbijetojnë pesë vjet pas diagnozës.
“Glioblastoma është një sëmundje shkatërruese. Në praktikë, nuk ekziston asnjë terapi vërtet efektive,” u shpreh Hui Li, studiues në Departamentin e Patologjisë në Shkollën e Mjekësisë të Universitetit të Virxhinias, në një deklaratë të publikuar këtë javë. Megjithatë, në vitin 2020, Li dhe ekipi i tij hodhën një hap të rëndësishëm përpara, duke identifikuar një të ashtuquajtur onkogjen — një gjen që nxit dhe mban gjallë zhvillimin e glioblastomës.
“Onkogjeni i ri që kemi zbuluar premton të jetë ‘thembra e Akilit’ e glioblastomës,” deklaroi Li në atë kohë. “Shënjestrimi specifik i tij mund të përfaqësojë një qasje shumë efektive për trajtimin e kësaj sëmundjeje.”
Tani, ekipi ka bërë të ditur një hap të ri dhe vendimtar drejt zhvillimit të një trajtimi, apo potencialisht edhe një kure: identifikimin e një molekule specifike që është në gjendje të bllokojë aktivitetin e këtij onkogjeni. Në studimet e kryera te minjtë, kjo molekulë ka treguar se është e aftë të shkatërrojë qelizat e glioblastomës pa dëmtuar indet e shëndetshme përreth.
“Risia qëndron në faktin se ne po shënjestrojmë një proteinë nga e cila qelizat e glioblastomës varen në mënyrë unike,” shpjegoi Li. “Dhe këtë po e bëjmë me një molekulë të vogël, e cila tregon aktivitet të qartë in vivo. Sipas dijenisë sonë, kjo rrugë biologjike nuk është shfrytëzuar më parë për qëllime terapeutike.”
Megjithatë, ky zbulim nuk përbën ende një trajtim të gatshëm për përdorim klinik. Përpara se ky përbërës i ri të shndërrohet në një medikament të disponueshëm për pacientët, ai duhet të kalojë nëpër një seri provash klinike rigoroze dhe testimesh të mëtejshme. Madje, edhe përpara fazës klinike, nevojiten studime shtesë teorike për të kuptuar plotësisht se si mund të shfrytëzohet në mënyrën më efektive.
Edhe kështu, në nivel konceptual, ky zbulim shihet si jashtëzakonisht premtues. Molekula në fjalë është e aftë të kalojë barrierën gjak–tru — një pengesë madhore që ka kufizuar shumë trajtime të tjera të mundshme për kanceret e trurit — dhe, pasi arrin në tru, duket se vepron në mënyrë selektive duke shkatërruar vetëm qelizat kancerogjene. Sipas studiuesve, ajo potencialisht mund të administrohet edhe në formën e një pilule orale, shkruan Ifl.
“Pacientët me glioblastomë kanë një nevojë urgjente për opsione më të mira trajtimi,” theksoi Li. “Terapia standarde ka mbetur pothuajse e pandryshuar për dekada të tëra, dhe normat e mbijetesës vazhdojnë të jenë dëshpëruese.”
“Qëllimi ynë,” përfundoi ai, “është të sjellim në praktikën klinike një mekanizëm veprimi krejtësisht të ri — një mekanizëm që shënjestron një dobësi themelore në biologjinë e glioblastomës.”